Was sagt die Statistik?
Ca. 5 % der Bevölkerung leiden an Neurodermitis = 4,0 Millionen

2-4 % aller Babys haben Neurodermitis
Bei 70 % der Kinder mit Neurodermitis lassen sich eine
oder mehrere Allergien nachweisen
Jedes 10. Schulkind hat Neurodermitis,
aber nur jedes 7. Kind hat Heuschnupfen
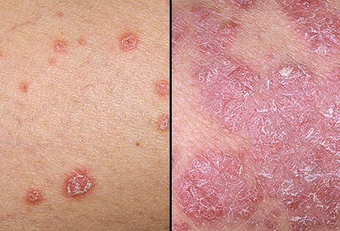
Ca. 3 % der Bevölkerung leiden an Psoriasis (Schuppenflechte) = 2,4 Millionen
30 % der der Haut – Psoriatiker
haben zusätzlich einen Gelenkbefall = 0,72 Millionen
Jeder 20. oder 5 % aller Psoriatiker, ist pro Jahr 30 Tage in stationärer Behandlung.
6 % aller Einnahmen der Krankenhäuser kommen allein aus der Psoriasis – Behandlung
75 % der betroffenen Psoriatiker konsultieren bis zu 30-mal im Jahr
einen Arzt wegen Ihrer Hauterkrankung
33 Millionen Verordnungen der Ärzte im Jahr 1985 für Hautmedikamente
bedeutet Rang 11 aller Indikationsgruppen
Neben Neurodermitis und Schuppenflechte (Psoriasis) gibt es noch eine Reihe weiterer entzündlicher Hauterkrankungen, so dass man sagen kann:
Jeder 12. Einwohner der Industriestaaten ist betroffen.
In Schwarzafrika ist die Hauterkrankung äußerst selten. In USA sind die Menschen mit schwarzer Hautfarbe aber genau so betroffen wie die Weißen.
Hat das etwas mit dem Klima zu tun?
Im heißen Arizona (USA) haben wir das Problem, in gleichem Klima in Afrika aber nicht.
Hat das mit unserer Lebensweise in den Industriestaaten zu tun?